2016年放射医学专业中级资格考试《专业实践能力》模拟试卷四
-
囊性畸胎瘤发生于
- A.卵巢
- B.宫体
- C.宫颈
- D.输卵管
- E.盆腔
-
子宫肌瘤最好发于
- A.卵巢
- B.宫体
- C.宫颈
- D.输卵管
- E.盆腔
-
子宫癌多见于
- A.卵巢
- B.宫体
- C.宫颈
- D.输卵管
- E.盆腔
-
诊断该疾病准确率较高的是
- A.CT平扫
- B.MRI
- C.超声
- D.X线
- E.ECT
-
诊断该疾病的较典型表现为
- A.CT表现为膝关节高密度影
- B.CT表现为半月板低密度影
- C.X线表现为肌肉高密度影
- D.MRl冠状面和矢状面上都看到肌肉内异常信号影
- E.MRl冠状面和矢状面上都看到半月板内异常信弓影
-
在影像学表现上,本病主要与下面哪种疾病鉴别
- A.先天性脑积水
- B.脑裂畸形
- C.脑灰质异位
- D.颅后窝巨大蛛网膜囊肿
- E.胼胝体发育不全
-
男,20岁,足球赛后右膝关节疼痛,行走时交锁。体检:右膝关节肿胀,外侧压痛明显。
根据描述,最可能的诊断是
- A.骨折
- B.肌肉挫伤
- C.半月板损伤
- D.骨肿瘤
- E.皮下血肿
-
根据诊断,该病的主要病理改变为
- A.小脑蚓部不发育或发育不全
- B.脑萎缩
- C.脑积水
- D.脑裂畸形
- E.胼胝体发育不全
-
为进一步明确诊断,还需行下面哪种检查
- A.痰找结核杆菌
- B.痰找癌细胞
- C.超声
- D.磁共振
- E.ECT
-
女,1岁,头大,智力障碍,CT示四脑室与枕大池扩大,小脑蚓部和半球发育不良,幕上脑室扩大。
根据描述,最可能的诊断是什么
- A.先天性枕大池扩大
- B.颅后窝蛛网膜囊肿
- C.Dandy-Wa1ker综合征
- D.Chiari畸形
- E.脑萎缩
-
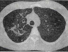
患者男,25岁,咳嗽,咯血近1周,午后低热1个月余,CT检查如图。如图所示,患者左侧肺部为何种基本病变

- A.肺脓肿
- B.钙化
- C.增殖性病变
- D.空洞
- E.积液
-
根据影像学表现,该病最应该与下面哪种疾病鉴别
- A.畸胎瘤
- B.肺结核
- C.肺脓肿
- D.支气管扩张
- E.肺大疱
-
根据患者病史及CT表现,最可能的诊断是
- A.畸胎瘤
- B.双上肺结核
- C.液气胸
- D.肺大疱
- E.肺炎
-
男,30岁,癫痫3个月余,CT示额叶有一个1.0~1.5cm囊样低密度影,边界清楚,囊周无水肿,轻度强化,内有点状增强。最可能的诊断为
- A.脑结核性脓肿
- B.脑脓肿
- C.星形细胞瘤
- D.脑囊虫病
- E.胶质母细胞瘤
-
高血压患者,CT示鞍上池前角有一直径0.8cm软组织密度影,增强扫描呈均匀密度强化,最大可能诊断
- A.垂体瘤
- B.颅咽管瘤
- C.前交通动脉瘤
- D.大脑中动脉瘤
- E.后交通动脉瘤
-
男,49岁,癫痫发作3次。CT.示左额叶有一圆形低密度区,病灶呈不规则环形增强,最大可能是
- A.化脓性脑炎
- B.胶质瘤
- C.病毒性脑炎
- D.血管畸形
- E.结节性硬化
-
男,8岁,头痛,CT示小脑桥脑角池,桥前池,右侧大脑角池,脚间池和鞍旁不规则的低密度病变无增强,最可能的诊断是
- A.皮样囊肿
- B.蛛网膜囊肿
- C.表皮样囊肿
- D.脑萎缩
- E.脑囊虫病
-
男,35岁,剧烈头痛2天,临床拟诊为急性蛛网膜下腔出血。为明确诊断最适宜的检查方法是
- A.CT平扫
- B.CT增强扫描
- C.动态CT扫描
- D.脑池造影CT扫描
- E.脑室造影CT扫描
-
男,58岁,工人,近1周内出现头痛、头晕,2小时前突发右下肢乏力,摔倒在地,影像检查如图,最可能的诊断是


- A.左侧大脑中动脉梗死
- B.胶质瘤
- C.脑出血
- D.脑膜瘤
- E.动静脉畸形
-
男,44岁,车祸伤及左侧眉弓和头部,半月后左眼球结膜高度水肿,视力减退,左眼球突出,CT检查如图,最可能的诊断为


- A.眶内静脉曲张
- B.颈内动脉海绵窦段动脉瘤
- C.海绵窦动静脉瘘
- D.脑动静脉畸形
- E.硬脑膜动静脉瘘
-
女,38岁,右下轻微腹痛、压痛、无反跳痛,钡灌肠检查如图,最可能的诊断是


- A.阑尾及结肠溃疡
- B.阑尾及结肠憩室
- C.阑尾及结肠结核
- D.阑尾及结肠溃疡型癌
- E.溃疡型结肠炎
-
患者50岁,车祸后出现下腹部疼痛,持续性,有时无法忍受。Doppler示脐下有一5cmX 7cm的包块,回声强,内有彩色血流。MRl示腹部正中偏左侧见一肿块,内呈高、低混杂信号,与腹主动脉相贴近,最可能的诊断为
- A.夹层动脉瘤
- B.假性动脉瘤
- C.动脉瘤
- D.嗜铬细胞瘤
- E.脾破裂出血
-
男,因突发呕血、右上腹痛、不能进食2天。CT示十二指肠水平段内5cm×3cm占位,其CT值为30Hu,有不均匀点状钙化,增强扫描无强化,最可能的诊断是
- A.十二指肠腺癌B,十二指肠憩室
- B.十二指肠内胆结石嵌顿
- C.十二指肠乳头炎
- D.十二指肠平滑肌瘤
-
45岁女性,临床、实验室检查提示梗阻性黄疸,CT扫描示肝脏一致性明显增大,肝内外胆管无明显扩张,首先考虑
- A.壶腹癌
- B.肝门部胆管癌
- C.原发性胆汁性肝硬化
- D.肝内胆管结石
- E.胆总管结石
-
女,65岁,肝区疼痛1个月余,CT检查如图,最可能的诊断是

- A.原发性肝癌
- B.肝转移癌
- C.肝腺瘤
- D.肝血管瘤
- E.肝错构瘤
-
男,44岁,有10年饮酒史,8年前曾患肝炎,CT示肝脏左叶和尾叶增大,方叶小,肝裂宽,肝表面不光整,肝内密度不均,呈小灶性略低密度区,增强后早期明显强化,但延迟8分钟扫描,肝内密度基本均匀,同时脾门及贲门周围见团状软组织影,脾门及贲门周围团状软组织影应考虑
- A.副脾
- B.增大的淋巴结
- C.曲张的侧支循环血管
- D.肿瘤组织蔓延
- E.增大的胰尾
-
女,35岁,右上腹隐约不适,CT示右肝内一欠规整的低密度灶,增强早期强化明显,延迟扫描等密度。最可能的诊断是
- A.肝癌
- B.肝血管瘤
- C.肝脓肿
- D.局灶结节增生
- E.肝腺瘤
-
女,73岁,中上腹痛1个月余,患者黄疸、消瘦,CT检查如下图,最可能的诊断是


- A.肝脓肿
- B.巨块型肝癌
- C.肝血管瘤
- D.肝淋巴管瘤
- E.肝胆管细胞癌
-
男,36岁,腹胀、消化不良、消瘦、中上腹痛,影像检查如下图,最可能的诊断是


- A.胃间质肉瘤并肝转移
- B.胃间质瘤并原发性肝癌
- C.内胚窦瘤肝转移
- D.胃淋巴瘤伴原发性肝癌
- E.胃问质瘤并肝血管瘤
-
男,41岁,发热、右季肋部疼痛10余天,根据CT图像,最可能的诊断是

- A.肝癌
- B.阿米巴肝脓肿
- C.肝结核
- D.肝囊肿
- E.肝包虫病
-
男,54岁,有乙肝病史,现腹胀,右上腹痛,消化不良,消瘦、乏力、贫血、黄疸,血清转氨酶升高,白蛋白/球蛋白比值倒置,CT、MRl检查如图,最可能的诊断是


- A.肝脓肿
- B.局灶性结节增生
- C.原发性肝癌
- D.肝转移癌
- E.肝炎性假瘤
-
男,48岁,上腹部不适2个月余,患者有华枝睾吸虫病病史。经CT检查发现肝左外叶增大,其内呈不均匀性低密度,病灶边界不清,周围可见扩张的胆管。最可能的诊断是
- A.肝脓肿
- B.肝细胞癌
- C.肝肉瘤
- D.胆管细胞癌
- E.胆囊癌
-
男,39岁,突然持续性上腹剧痛,迅速扩散全腹,腹肌紧张,肝浊音界消失,X线检查:膈下有新月形气体影,最可能的诊断为
- A.十二指肠球部溃疡穿孔
- B.急性胰腺炎
- C.绞窄性肠梗阻
- D.急性化脓性胆囊炎
- E.急性阑尾炎穿孔
-
男,33岁,右下腹隐痛,可触及肿块伴有压痛,曾于半年前患急性阑尾炎,经保守治疗后症状消失,首选检查方法是
- A.纤维结肠镜
- B.CT
- C.B超检查
- D.钡灌肠造影
- E.钡餐造影
-
男,57岁,上腹痛3个月,大便隐血(+)。钡餐显示胃窦向心性狭窄,蠕动消失,未见龛影,黏膜皱襞紊乱、破坏,低张造影局部胃壁无扩张。最可能的X线诊断是
- A.胃痉挛
- B.慢性胃窦炎性挛缩
- C.胃窦癌
- D.胃外肿瘤压迫
- E.慢性胃窦溃疡所致挛缩
-
女,49岁,脐周疼痛近1个月,大便有时稀。体检:脐周有压痛,结合图像,最可能的诊断为


- A.胃体炎
- B.胃体癌
- C.胃窦炎
- D.胃窦癌
- E.胃溃疡
-
女,23岁,反复上腹部疼痛伴黑便2年余,呕吐3天。有血吸虫病史,曾行脾脏切除。结合图像,最可能的诊断为


- A.正常食管
- B.食管静脉曲张
- C.食管胃底静脉曲张
- D.贲门失弛缓症
- E.食管癌
-
女,73岁,吞咽困难2个月。体检:咽充血,滤泡增生,最可能的诊断为

- A.会厌征(+)
- B.食管裂孔疝
- C.食管癌
- D.食管静脉曲张
- E.食管憩室
-
35岁男性,右眼痛2个月。CT示有泪腺增大,边缘模糊,眶壁骨质正常,增强扫描示泪腺轻度增强,最可能的诊断是
- A.泪腺混合瘤
- B.泪腺型炎性假瘤
- C.格雷夫斯肩(Gmve病)
- D.泪腺癌
- E.泪腺血管瘤
-
女,52岁,左颈部无痛性包块渐进性增大,MRl检查如图,最可能的诊断是

- A.左侧颈部神经鞘瘤
- B.左侧颈部神经纤维瘤
- C.左侧颈部动脉瘤
- D.左侧颈部转移瘤
- E.左侧颈部脂肪瘤
-
12岁男性,体温38.5。C,右腮腺区肿痛,皮肤温度稍高,略红,有压痛,触之较软。CT示右侧腮腺普遍增大,边缘模糊,密度增高;内有小气液面。最可能的诊断是
- A.恶性肿瘤
- B.流行性病毒性腮腺炎
- C.淋巴瘤
- D.混合瘤
- E.化脓性腮腺炎并脓肿形成
-
脑外伤性脑内血肿描述,下列哪项是错误的


- A.常见部位是额叶和颞叶
- B.均一高密度肿块
- C.急性期不行增强扫描
- D.周边血肿较深部血肿吸收快
- E.常在脑挫裂伤区内
-
女,30岁,左眼球突出,运动障碍7个月。CT平扫示左肌锥内有稍高密度不规则块影。增强扫描示均匀增强,眼肌、眼环正常。诊断为
- A.甲状腺性突眼
- B.眼眶蜂窝织炎
- C.炎性假瘤
- D.海绵状血管瘤
- E.转移瘤
-
女,14岁,渐进性鼻塞2年余,右眼肿痛数月,CT如图所示,最可能的诊断是


- A.筛骨骨肉瘤
- B.筛骨骨纤维结构不良
- C.筛骨软骨瘤
- D.筛骨结核
- E.筛骨骨化性纤维瘤
-
男,58岁,右颈部肿块3个月,CT示右咽隐窝和咽鼓管闭塞,局部有软组织密度肿块,颈部淋巴结肿大,最可能的诊断是
- A.纤维血管瘤
- B.神经血管瘤
- C.腺样体增生
- D.鼻咽癌
- E.结核
-
牙齿参差不齐,无发热,无疼痛,PE:上牙槽向前隆突,影像检查如图,最可能诊断为


- A.上颌骨结核
- B.上颌骨囊肿
- C.上颌骨脓肿
- D.上颌骨造釉细胞瘤
- E.上颌骨巨细胞瘤
-
女,45岁,右耳听力下降半年余,CT检查如图,最可能的诊断是


- A.继发性胆脂瘤
- B.脑膜瘤
- C.三叉神经瘤
- D.原发性胆脂瘤
- E.听神经瘤
-
男,2岁,右眼白瞳症1个月,CT影像如图,最可能的诊断是


- A.眼球内寄生虫病
- B.永存原始玻璃体增生症
- C.脉络膜骨瘤
- D.Coats病
- E.视网膜母细胞瘤
-
男,17岁,自诉鼻涕中带血3个月,伴耳鸣、听力减退,无发热,影像检查如图,最可能的诊断是


- A.咽旁脓肿
- B.鼻咽部恶性淋巴瘤
- C.鼻咽癌
- D.小唾液腺混合瘤
- E.鼻咽部淋巴组织增生
-
男,41岁,右侧咽部不适2年余,有异物感,声音嘶哑,CT如图,最可能的诊断是


- A.颈动脉体瘤
- B.咽旁转移瘤
- C.咽旁淋巴瘤
- D.小唾液腺瘤
- E.咽旁神经鞘膜瘤
-
女,52岁,左眼球突出20余年,T1、T2均正常,影像检查如图所示,最可能的诊断是


- A.错构瘤
- B.脂肪瘤
- C.畸胎瘤
- D.血管瘤
- E.炎性假瘤
-
男,65岁,左眼球突出近1年,鼻涕带血,面颊部隆起,同时面颊部有麻木感,CT检查如图,最可能的诊断是


- A.上颌窦息肉
- B.上颌窦血管瘤
- C.上颌窦囊肿
- D.上颌窦癌
- E.骨肉瘤
-
男,60岁,头痛,前额部局部隆起。查体:前额部局部隆起处可触及乒乓球样肿块。CT显示:额窦腔扩大,内为低密度软组织影,边缘光滑呈弧形,可见细线样囊壁,其内CT值为20Hu。拟诊为
- A.额窦黏液囊肿
- B.额窦黏膜下囊肿
- C.额窦急性炎症
- D.额窦脓肿
- E.额窦胆脂瘤专业实践能力
-
男,59岁,血尿1个月,MRl检查如图所示。最可能的诊断是

- A.膀胱内血块
- B.膀胱癌
- C.膀胱结石
- D.膀胱息肉
- E.输尿管囊肿
-
女,34岁,自幼左侧乳头内陷,未哺乳。发现左乳肿物2周,边界不清,与皮肤粘连。近2天出现肿块增大,伴局部红肿热痛,无波动感,最可能的诊断是
- A.浆细胞性乳腺癌合并感染
- B.乳腺囊性增生症
- C.纤维腺瘤
- D.结核
- E.乳腺癌
-
35岁女性,经血增多、痛经,CT示子宫一致性增大,子宫壁增厚,内有囊状影,囊液CT值15~28Hu,官腔形态尚可,应首先考虑为
- A.子宫转移癌
- B.子宫肌瘤
- C.子宫腺肌症
- D.子宫内膜癌
- E.子宫平滑肌肉瘤
-
女,19岁,左下腹疼痛1个月。CT2左下腹111mm×120mm椭圆形囊性团块,边缘光滑,包膜完整,密度均匀CT值26Hu,无强化,病变推移子宫、肠管。最先考虑为
- A.卵巢囊肿
- B.卵巢囊腺瘤
- C.卵巢畸胎瘤
- D.卵巢皮样囊肿
- E.卵巢脓肿
-
结合所示图像,精索内筋膜对应于腹壁的哪一层

专业实践能力第42题
- A.Scarpa筋膜
- B.腹横筋膜
- C.腹横肌腱膜
- D.腹内斜肌腱膜
- E.腹外斜肌腱膜
-
男,32岁,偶然发现有高血压,结合所示图像,最可能的诊断是

- A.双侧肾动脉瘤
- B.双侧假性肾动脉瘤
- C.双侧肾动脉出血血肿形成
- D.双侧肾动脉狭窄
- E.双侧肾动脉夹层动脉瘤
-
女,28岁,右肾区疼痛伴高热,根据所示图像,最可能的诊断是

- A.右肾结石
- B.右侧输尿管上段结石
- C.右侧输尿管中段结石
- D.右侧输尿管下段结石
- E.右侧脊柱旁脓肿
-
男,65岁,尿频尿急及排尿困难,CT检查如图,下列说法错误的是

- A.前列腺形态呈类圆形
- B.前列腺包膜光滑,境界清晰
- C.前列腺与膀胱分界清楚
- D.考虑为前列腺增生
- E.考虑为前列腺癌
-
女,42岁,反复右下腹痛1个月,CT检查如图所示,下列诊断正确的是


- A.右侧输尿管上段结石,其上方输尿管扩张积水
- B.右侧输尿管中段结石,其上方输尿管扩张积水
- C.右侧输尿管下段结石,其上方输尿管扩张积水
- D.右侧输尿管下段结核,其上方输尿管扩张积水
- E.右侧输尿管下段炎性狭窄,其上方输尿管扩张积水
-
男,25岁,右腰部疼痛伴血尿,有外伤史,CT扫描如图所示,应诊断为


- A.右肾挫伤并包膜下血肿
- B.右肾血管平滑肌脂肪瘤
- C.右肾癌
- D.右肾梗死
- E.右肾脓肿
-
患者,女,46岁,胸闷气短1个月,伴全身乏力、咳嗽、发热。胸片示:中上纵隔增宽,右缘呈波浪状改变。白细胞:8.5 X 109/L。最可能的诊断是
- A.胸内甲状腺
- B.胸腺瘤
- C.右侧中心型肺癌
- D.淋巴瘤
- E.畸胎瘤
-
5岁男性,有不洁饮食史,自觉胸痛,气急,咳果酱色黏痰,CT示肺内多发边缘模糊斑片状影,内有多个空洞,空洞壁厚薄不均,部分空洞内有条状高密度影,最可能的诊断是
- A.过敏性肺炎
- B.急性肺脓肿
- C.肺吸虫病
- D.大叶性肺炎
- E.肺钩端螺旋体病
-
男,58岁,不规则发热4个月。CT表现右肺上叶后段不规则空洞影,壁较厚,其内有分隔及短小气液面,周边伴有小支气管扩张,邻近胸膜增厚。应首先诊断为
- A.浸润型肺结核
- B.空洞型肺结核并支气管播散
- C.支气管扩张并感染
- D.慢性肺脓肿
- E.空洞型肺癌
-
患者男,32岁,被车撞伤后1个小时急诊行CT检查。结合图像,最可能的诊断为


- A.右侧气胸
- B.右肺不张
- C.右侧气胸并皮下纵隔气肿
- D.右侧肺大疱并皮下纵隔气肿
- E.支气管断裂
-
青年患者,右肺下叶背段见一薄壁空洞,首先应该考虑
- A.肺癌
- B.肺结核
- C.肺脓肿
- D.先天性肺囊肿
- E.肺包虫囊肿
-
男,41岁,咳嗽,咳少量白痰伴胸部不适1个月余,痰中带血1次。CT示两肺多发大小不等、不规则软组织密度结节,部分病灶内可见不规则空洞,壁厚。首先考虑为
- A.血源性肺脓肿
- B.细支气管肺泡癌
- C.亚急性血行播散型肺结核
- D.支气管扩张合并感染
- E.韦格肉芽肿
-
患者女,23岁,咳嗽咳痰反复发作,根据CT图像,最可能的诊断是


- A.支气管扩张并感染
- B.多发肺气囊
- C.多发性肺囊肿并感染
- D.多发性肺脓肿
- E.大叶性肺炎
-
男,31岁,反复咳嗽,咯血10年余,结合影像学检查,最可能的诊断是

- A.肺囊肿
- B.间质性肺炎
- C.肺曲菌病
- D.支气管扩张
- E.肺结核
-
患者男,55岁,呼吸困难,气喘,查体桶状胸体症,CT如图,最可能的诊断是


- A.双上肺结核
- B.左上肺结核,右上肺癌
- C.间质性肺炎
- D.右上肺癌并肺内转移
- E.矽肺
-
患者男,70岁,以前是管道安装工,有石棉接触史,也有很长的吸烟史,结合CT检查,最可能的诊断是
专业实践能力第28题- A.胸膜肥厚
- B.胸膜问皮瘤
- C.石棉肺
- D.神经鞘瘤
- E.淋巴瘤
-
患者女,40岁,发现颈部肿块,随吞咽上下移动,触之无搏动,咳嗽、气喘1周,结合CT检查,最可能的诊断是


- A.胸腺瘤
- B.胸内甲状腺瘤
- C.无名动脉瘤
- D.无名动脉伸展扭曲
- E.淋巴瘤
-
结合肺段模式图,选出右肺下叶的组成


- A.F
- B.F+G
- C.F+G+H
- D.F+G+H+I
- E.F+G+H+I+J
-
患者男,28岁,咳嗽,咯血,消瘦盗汗1个月余,影像学检查如图,最可能的诊断为


- A.类风湿肺炎
- B.右上肺周围型肺癌
- C.右上肺浸润型肺结核
- D.右上肺炎性假瘤
- E.右上肺曲霉菌感染
-
患者男,36岁,低热、咳嗽、咳痰,体重减轻,结合CT图像,最可能的诊断是


- A.病毒性肺炎
- B.粟粒型肺结核
- C.矽肺
- D.肺转移癌
- E.细支气管肺泡癌
-
患者男,48岁,发热,咳嗽,咳痰,咯血,PPD(一),结合图像,最可能的诊断是


- A.肺癌
- B.肺曲菌病
- C.肺结核
- D.肺炎
- E.肺脓肿
-
患者女,28岁,反复咯血半个月余,CT检查如图,最可能的诊断是

专业实践能力第22题
- A.肺结核
- B.肺癌
- C.间质性肺炎
- D.支气管扩张
- E.肺脓肿
-
患者男,30岁,偶尔干咳,结合图像,最可能的诊断是

- A.左下肺感染
- B.左下肺结核
- C.左下肺错构瘤
- D.左下肺炎性假瘤
- E.左下肺AVM
-
患者女,51岁,心脏手术后,突感胸痛,结合CT图像,最可能的诊断是

- A.肺栓塞
- B.支气管扩张
- C.肺水肿
- D.肺癌
- E.肺不张
-
患者男,17岁,发现颈部肿块1个月,胸片检查、CT检查如图,最可能的诊断为

- A.胸腺瘤
- B.畸胎瘤
- C.淋巴瘤
- D.胸内甲状腺瘤
- E.囊状淋巴管瘤
-
患者男,30岁,右下腹稍隆起,CT检查如图,最可能的诊断为

- A.右膈下脓肿
- B.间位结肠
- C.右膈下脂肪瘤
- D.右下肺肺大疱
- E.右下肺炎
-
淋巴瘤患者放疗后3个月出现气急咳嗽,CT检查如图所示,最可能的诊断是

专业实践能力第19题
- A.陈旧性结核
- B.放射性肺炎
- C.浸润型肺结核
- D.瘢痕癌
- E.矽肺结节
-
28岁,男性,咳嗽,胸闷1月余。胸片示右下肺浅淡片状影,肺纹理增多,最可能的诊断是
- A.慢性纤维空洞型肺结核
- B.慢性肺脓肿
- C.自发性气胸
- D.大叶性肺炎
- E.支原体肺炎
-
青年农民,突发畏寒、高热,全身肌肉酸痛,以腓肠肌为著,3天后出现咳嗽、咯血,胸片示肺纹理增粗、结构模糊,双肺多个斑片状模糊影,最可能的诊断是
- A.农民肺
- B.肺钩端螺旋体病
- C.过敏性肺炎
- D.间质性肺炎
- E.支气管肺炎
-
患者男,69岁,胸闷气逼多年,近来咳嗽,无胸痛、无痰中带血,X线检查如图,最可能的诊断是

专业实践能力第12题
- A.慢支肺气肿、右上肺肿瘤
- B.慢支肺气肿、右上肺炎性假瘤
- C.慢支肺气肿、右上肺结核瘤
- D.慢支肺气肿、肺转移瘤
- E.慢支肺气肿、结节病
-
患者男,54岁,咳嗽,伴胸痛2周,午后有低热,胸片如图,最可能的诊断是

专业实践能力第13题
- A.肺脓肿
- B.结核空洞
- C.韦格肉芽肿
- D.肺癌
- E.肺大疱
-
患者女,25岁,低热,乏力,微咳,有蛔虫史,胸片见两肺下部斑状阴影,经抗结核治疗1周阴影消失,但其他部位又出现类似阴影,最可能的诊断是
- A.过敏性肺炎
- B.支原体肺炎
- C.葡萄球菌肺炎
- D.肺结核
- E.真菌性肺炎
-
女,37岁,腰腿痛半年,结合图像,最可能的诊断是

- A.L5—S1椎间盘变性 B. C. D. E.
- B.L5一S1椎间盘向后突出
- C.L5一S1椎间盘变性并向后突出
- D.L5一S1椎间盘膨出
- E.L4~5椎间盘向后突出
-
患者,男,38岁,左髋部疼痛,并逐渐加重,体检:左髋部明显肿胀压痛,无明显发热,结合所提供的图片,最可能的诊断是


- A.骨巨细胞瘤
- B.纤维肉瘤
- C.骨肉瘤
- D.软骨肉瘤
- E.软骨黏液纤维瘤
-
男,15岁,有高热史,右大腿局部出现红、肿、热、痛等症状,触之有波动感。结合所提供的图像,最可能的诊断是


- A.急性化脓性骨髓炎
- B.慢性化脓性骨髓炎
- C.软骨肉瘤
- D.动脉瘤样骨囊肿
- E.骨巨细胞瘤
-
43岁,男,上腹隐痛半年,ERCP示主胰管粗细不均、扭曲、僵硬,胆总管下端向内移位,最可能的诊断是
- A.胰腺癌
- B.慢性胰腺炎
- C.急性胰腺炎
- D.胰腺假性囊肿
- E.先天性胆总管囊样扩张症
-
男,19岁,胫骨中上段剧烈疼痛,尤以夜间明显,可摸到肿物,结合图像,最可能的诊断是



- A.软骨瘤
- B.软骨肉瘤
- C.骨转移瘤
- D.骨肉瘤
- E.骨巨细胞瘤
-
女,18岁,左锁骨疼痛、肿胀,无发热,结合图像最可能的诊断是


- A.骨囊肿
- B.骨肉瘤
- C.尤文肉瘤
- D.骨巨细胞瘤
- E.动脉瘤样骨囊肿
-
男,30岁,近2年来跟骨疼痛,活动后加重,查体跟骨压痛明显,皮肤稍显红肿,结合所提供的图像,最可能的诊断是


- A.骨囊肿
- B.骨巨细胞瘤
- C.动脉瘤样骨囊肿
- D.软骨瘤
- E.软骨肉瘤
-
男,65岁咳嗽、痰中带血丝3个月。近来出现腰骶部疼痛,胸部平片及CT显示:左上肺有一软组织肿块影,腰1及腰3椎体、椎弓根多发骨质破坏,最可能的诊断是
- A.肺癌并腰椎转移
- B.肺结核并腰椎结核
- C.肺脓肿并化脓性脊椎炎
- D.肺癌并腰椎结核
- E.金黄色葡萄球菌感染
-
男,30岁,右膝关节酸胀,疼痛不适5个月,X线检查如图所示,最可能的诊断是

专业实践能力第3题
- A.骨巨细胞瘤
- B.骨囊肿
- C.骨血管瘤
- D.动脉瘤样骨囊肿
- E.嗜酸性肉芽肿
-
男,38岁,左髋关节疼痛跛行1年半,经治疗无明显好转,双髋关节正位片摄片如图所示,最可能诊断是

专业实践能力第4题
- A.左髋关节结核
- B.左股骨头坏死(早期)
- C.左股骨头坏死(活动期)
- D.左股骨头坏死(稳定期)
- E.左髋关节退变
-
男,6岁,口唇青紫,喜蹲踞。结合X线(见图)检查,最可能的诊断是

专业实践能力第1题
- A.室间隔缺损
- B.房间隔缺损
- C.肺动脉狭窄
- D.法洛四联症
- E.动脉导管未闭























































专业实践能力第28题































